تجارب عملية لقسم الاحياء المجهرية
2026 / 03 / 12

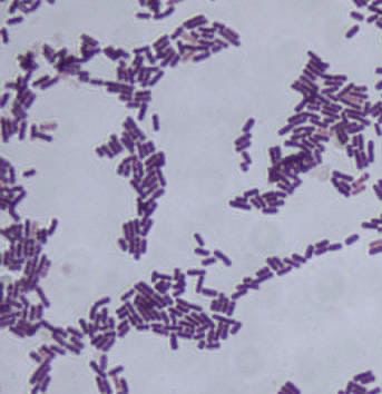
جانب من التجارب العملية في قسم الأحياء المجهرية في كلية العلوم – جامعة الكرخ للعلوم، حيث قام طلبة المستوى الثاني بإجراء اختبار صبغة غرام (Gram Stain) في مختبر البكتريا العام.


يعد اختبار صبغة غرام من أهم الاختبارات الأساسية في علم الأحياء المجهرية إذ يُستخدم للتمييز بين البكتيريا موجبة الغرام وسالبة الغرام اعتمادًا على تركيب الجدار الخلوي للبكتيريا. ويسهم هذا الاختبار بشكل كبير في المساعدة على تشخيص العدوى البكتيرية وتحديد نوع البكتيريا تمهيدا لاختيار العلاج المناسب .


شعبة الإعلام والاتصال الحكومي / كلية العلوم